Equilibriodonzia

La scienza dell’Equilibriodonzia è la migliore alleata dell’Odontoiatra nel ristabilire l’armonia dentale e le corrette funzioni della bocca.

L’Equilibriodonzia è un metodo innovativo che armonizza naturalmente bocca e corpo.

Adatto a tutte le età, garantisce risultati naturali e duraturi.

Grazie all’utilizzo di questi dispositivi, si riabilitano le funzioni fisiologiche del cavo orale. E’ possibile quindi risolvere mal-occlusioni, respirazione orale, deglutizione atipica, errata masticazione, bruxismo ed espandere naturalmente il palato. Inoltre, i benefici si ripercuotono su tutto il corpo, permettendo di trattare cefalee, emicranie, problematiche postulali, apnee notturne e russamento.

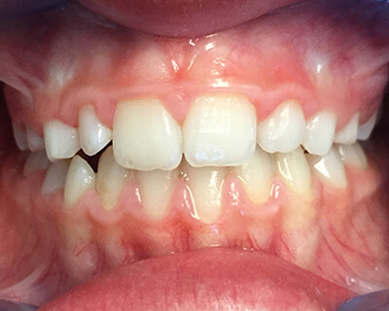
Elena 12 anni

Morso aperto

PRIMA

DOPO

Sergio 47 anni

Terza classe scheletrica,

equilibratore e rialzi

PRIMA

DOPO

Erica 10 anni

Seconda classe scheletrica,

morso profondo

PRIMA

DOPO

Giulia 8 anni

Morso aperto

PRIMA

DOPO

Giada 9 anni

Tendenza terza classe,

morso inverso anteriore

PRIMA

DOPO

Fabio 10 anni

Cross a sinistra,

morso coperto

PRIMA

DOPO

Chiamaci per prenotare un appuntamento e richiedere una visita con un nostro esperto.